prev next front |1 |2 |3 |4 |5 |6 |7 |8 |9 |10 |11 |12 |13 |14 |15 |16 |17 |18 |19 |20 |21 |22 |23 |24 |25 |review
Pathological Changes of Chronic Occurrence of Minamata Disease (Moderate)

brain10.GIF (14119 bytes)

Takeuchi & Eto, 1977

patho1.GIF (4185 bytes) A calcarine area of a chronic onset case running the course of 11 years (KU No. 5583, 65-year-old male), not less than 50% of neurons are lost, which is classed as grade 3. Klüver-Barreera's staining, X 150.
patho2.GIF (6865 bytes) Loss of not less than 50% of granule cells (grade 3). KU No. 5583. Klüver-Barrera's staining, X 60.
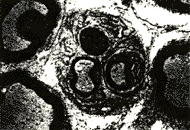
patho3.GIF (6998 bytes) Electron micrograph of a biopsy specimen of the sural nerve of a chronic onset case (41-year-old female).  The regenerating unit contains the Schwann cell nucleus, two small mylinated fibers ad one collapsed axon, X3200
prev next front |1 |2 |3 |4 |5 |6 |7 |8 |9 |10 |11 |12 |13 |14 |15 |16 |17 |18 |19 |20 |21 |22 |23 |24 |25 |review