 |
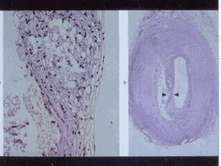
The recognition that inflammation plays an important part in
the aetiology of the atherotrombotic event has grown over recent years. The
slide shows an atherosclerotic plague with in the bottom half an enlargement of the
shoulder region of the plague. Large numbers of inflammatory macrophages may play a role
in plague vulnerability to rupture and the precipitation of the acute event. The
finding of an organisms such as Chlamydia in the atherosclerotic plagues and promising
findings of the interventions studies using antichlamidial antibiotics in my mind let to a
confusion that tends to equate inflammation in a plague with infection and relate both of
these to long-term development of atherosclerosis. |