prev next front |1 |2 |3 |4 |5 |6 |7 |8 |9 |10 |11 |12 |13 |14 |15 |16 |17 |18 |19 |20 |21 |22 |23 |24 |25 |26 |27 |28 |29 |30 |31 |32 |review
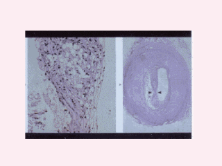
近几年来对炎症在动脉粥样血栓形成病因中起重要作用的认识逐渐增多。这张幻灯片展示了一个动脉粥样硬化病灶,图片下部病灶侧翼区有一块膨大。大量炎症巨噬细胞可能在病灶易破裂性和急性沉淀中起了作用。在动脉粥样硬化病灶中找到微生物如衣原体和关于应用抗衣原体抗生素的干涉研究的前瞻性发现在我脑海中导致了困惑,就是倾向于将病灶中的炎症和感染同等看待,及将它们都与动脉粥样硬化的慢性发展联系起来。