prev next front |1 |2 |3 |4 |5 |6 |7 |8 |9 |10 |11 |12 |13 |14 |15 |16 |review

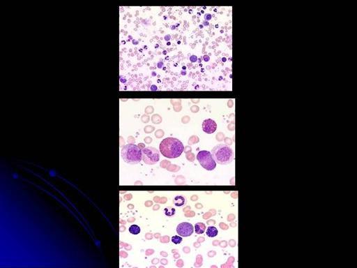
Picture 1. Blood film at 400X magnification demonstrates leukocytosis with the presence of precursor cells of the myeloid lineage. In addition, basophilia, eosinophilia, and thrombocytosis can be seen.

Picture 2. Blood film at 1000X magnification demonstrates the whole granulocytic lineage, including an eosinophil and a basophil.

Picture 3. Blood film at 1000X magnification shows a promyelocyte, an eosinophil, and 3 basophils.