prev next front |1 |2 |3 |4 |5 |6 |7 |8 |9 |10 |11 |12 |13 |14 |15 |16 |review

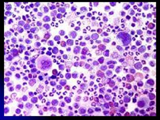
Picture 4. Bone marrow film at 400X magnification demonstrates clear dominance of granulopoiesis. The number of eosinophils and megakaryocytes is increased.