We were all impressed and pleasantly surprised to see the extraordinary Ghanim Al-Muftah at the FIFA World Cup Qatar 2022 opening ceremony. We were awed by how his disabilities did not stop him from reaching for his dreams, and we all wondered what had happened to him. Al-Muftah has one of the rarest disorders known as caudal regression syndrome.
Caudal regression syndrome is a disorder that impairs the development of the lower part of the body: lower back, limbs, gastrointestinal tract, and genitourinary system. It affects both females and males with equal ratios; the frequency of its occurrence is still not accurate but about 1–2.5 per 100,000 infants may be born with this syndrome.
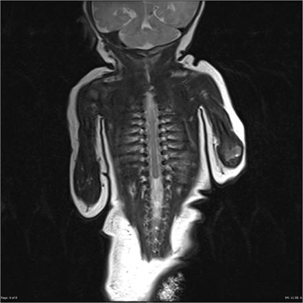
Symptoms of caudal regression syndrome vary; an affected person may not have them all. Lower vertebrae bones may not be found or ill-developed; the corresponding parts of the spinal cord are either irregular or missing as well. Incomplete closure of vertebrae may occur with the appearance of a fluid-filled sac at the back. This sac may contain only fluids or fluids with part of the spinal cord.

Source
The exact cause of caudal regression syndrome is still unknown, but a lot of research suggests it is an interaction between some genetic and environmental factors. One of them is maternal diabetes; one in every 350 infants with caudal regression syndrome has a diabetic mother. The exact relation between diabetes and this syndrome is still unknown, but poor diabetic management during pregnancy could be a cause. The environmental factors could be due to lack of oxygen, alcohol consumption, or amino acid imbalance during pregnancy.
Some scientists suggest the presence of an abnormal artery in the abdomen of the embryo impairs the blood flow to the lower body and results in developing this syndrome. Others suggest a disturbance that occurs around day 28 of pregnancy, affecting the mesoderm—the middle layer of the developing embryonic tissue—thus, disturbing the development of parts of the skeleton, gastrointestinal system, and genitourinary system. Another group suggests that it is a combination of both abnormal mesodermal development and a reduction in blood flow.
Diagnosis of caudal regression syndrome can be done using ultrasound during pregnancy. Doctors may be able to notice the symptoms of the disorder affecting the lower part of the body and use x-rays after birth to ensure the case and examine bones and organs’ health.
Starting treatment as early as possible will guarantee better results as treatment strategies vary from one infant to another, and case prognosis varies too according to the severity of the disease. It needs the cooperation of a lot of specialists as pediatricians (child health specialists), bone specialists, neurologists, urologists, nephrologists, and cardiologists, as the treatment depends mainly on managing the symptoms and their severity.
Multiple surgeries may be carried out to improve the skeletal symptoms and treat the misshapen bones. Others are made to improve the functions of the affected organs as gastrointestinal organs, urinary tract, and kidneys. Some cases with the affected respiratory system will need ventilators, and several cases use prosthetic devices to facilitate their movement.
Most of the caudal regression suggested causes are not predictable, as it is not a genetic disease, but all we can do is try to manage blood glucose levels during pregnancy for diabetic mothers, besides managing the other environmental and genetic factors that play a role in the syndrome development.
References
medlineplus.gov
my.clevelandclinic.org
rarediseases.org